子宫息肉最佳治疗方法有3种,单靠中医调理效果不理想
子宫内膜息肉是很多备孕女性都比较困扰的问题,因为它的发病率是很高的,属于是子宫内膜良性病变,患者往往是伴有月经异常、不孕、阴道口有肿物脱出、白带增多、白带带血丝等症状。如果说出现这些症状的话,是需要及时上医院进行相关诊治的,从而是可以排除是否是子宫息肉所导致的。而下面就为大家谈子宫内膜息肉的问题,从原因到症状,再到如何治疗,希望对大家能有所帮助。

子宫内膜息肉出现的原因
子宫息肉主要就是子宫内膜良性病变之一,是因为内膜基底层的局限性增生所引起的,主要表现就是突出于子宫腔内的单个或多个光滑肿物,蒂长短不一,不管是育龄期的女性还是绝经期女性,都是有很大发病率的,而出现这种情况的原因有很多。
1、炎症
如果说女性在出现妇科炎症的时候没有及时的治疗,长时间下去就会导致子宫息肉的出现,从而就会刺激到子宫,就会使息肉越来越大。
2、内分泌紊乱
现在一些女性不管是工作压力、生活压力、学习压力都是很大的,还有的女性有着不好的生活习惯,从而就会导致内分泌紊乱,比如说雌激素水平升高,就会刺激到子宫的,很容易诱发子宫息肉。
3、病原体感染
一些女性在分娩后、人流后可能会出现病原体细菌感染的情况,如果说没有及时发现的话,那么就会出现子宫息肉。

子宫息肉的临床症状
正常情况下,子宫息肉患者是伴有白带增多、白带中带血丝、阴道出血、经期延长、同房后出血、腰骶部疼痛等症状,也是比较常见的临床表现,所以大家在平时生活中一定要及时观察。
- 白带异常:子宫息肉可能是炎症所导致的,而炎症的刺激下是会导致白带增加,或者是白带中带血丝的情况,要考虑子宫息肉的可能;
- 阴道出血:有些患者还会伴有阴道出血的情况,出血可能和来月经差不多,而有些患者严重的话,出血程度可能比较严重;
- 腰骶部疼痛:在慢性炎症的刺激下,可能会出现腰骶部疼痛、盆腔下坠疼痛感等。
对于子宫内膜息肉来说,虽说是一种比较常见的良性增生性病变,并不会有很严重的恶变,但是在患病之后,还是需要及时观察自身症状,症状加重或有复发迹象者应及时就诊。

子宫息肉的检查方法
子宫息肉如果说情况比较严重的话,是会导致女性出现不孕不育的,就算是有些女性成功怀孕了,后期出现流产、胎停等几率也是很大的。不过对于女性出现了一些关于子宫息肉相关诊治,一定要去医院进行全面的检查,而临床上面常见的子宫息肉的检查方法有下面几种。
- 1. 妇科检查:通过妇科检查检查是可以观察到宫颈口凸出来的息肉,但是对于宫腔中的是无法看到的,而且需要经验丰富的医生才能判断;
- 2. 宫颈活检:如果说初步诊断后怀疑是子宫息肉,那么就需要进一步进行宫颈活检,主要就是从宫颈上取一小块或几块组织作病理检查,以确定诊断;
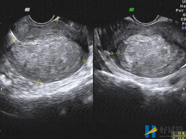
- 3. 超声检查:超声检查有助于诊断子宫息肉,但是虽然可以检测子宫内膜息肉的大小、数量和位置,但该检查不能提供明确的诊断;
- 4. 宫腔镜:宫腔镜检查既可诊断又可治疗,通过宫腔镜,可以在直视下观察宫腔内的情况,同时可以直接切除息肉。
子宫内膜息肉怎么调理
子宫息肉的检查方法是不复杂的,如果确诊为子宫息肉后,是可以选择手术治疗,或者是药物治疗的。不过因为每个患者的实际情况是不一样的,从而治疗的方法是不一样的,具体的可以咨询专业医生的建议。不过在治疗期间要掌握下面这些调理方法。
- 西药治疗:针对的是直径比较小的子宫内膜息肉的患者,可以选择口服短效避孕药,或者是高效孕激素抑制病情;
- 中药调理:可中医治疗对于子宫内膜息肉治疗也是有效果的,但是只能起到缓解病情的作用,并不能起到治愈的效果;
- 手术治疗:对于有症状、多发或者比较大的息肉,是建议手术治疗的。





